実は認知症のタイプにより症状や経過が少しずつ異なり、経過も治療も予後も介護の仕方も違ってきます。正しい診断を受けているか判断するためにも、認知症についての知識を深めておく必要があります。今回は、医療法人翠清会・翠清会梶川病院、介護老人保健施設、地域包括支援センター会長の梶川博氏、医学博士である森惟明氏の共書『改訂版 認知症に負けないために知っておきたい、予防と治療法』(幻冬舎MC)より一部を抜粋し、アルツハイマー型認知症について詳しく見ていきましょう。
多彩な症状が現れる…「レビー小体型認知症」の特徴
レビー小体型認知症(Dementia with Lewy Bodies:DLB)は、つい最近(1990年代後半)までは、その存在も知られていませんでした。横浜市立大名誉教授の小阪憲司医師による1976年以降の一連の報告で症状や病態が明らかになりました。
認知症患者の死後、脳組織をいろいろな染色液で染めてゆく研究過程で、大脳皮質や脳幹の神経細胞の中に「レビー小体」という物質が観察されました。そして、レビー小体型認知症の原因はα-サイヌクレイン(α-シヌクレイン)という蛋白でできている「レビー小体」であることが分かりました。
疫学的調査によると、アルツハイマー型認知症、血管性認知症に次いで患者さん数が多く、認知症全体の15~20%程度(他のタイプとの混合型を合わせると全体の20%程度)といわれています。
男性に多く、発症しやすい年齢は60歳以降ですが若年層にもみられることが分かりました。全経過はアルツハイマー型認知症より短く約7年です。
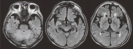
レビー小体型認知症の中核症状3項目は、認知症、幻視(具体的で、ありありとした)、パーキンソン症状です。これらの症状も階段状に進行しますが、症状は良くなったり悪くなったりといった具合に動揺し、短期的にみれば前進・後退がみられます。すなわち、日あるいは時間帯によって、症状の出方が違うという特徴もあるのです。
現実的で詳細な内容の幻視・錯視・誤認妄想が出現
レビー小体型認知症の場合、認知機能障害が激しく変動し、幻視・錯視・誤認妄想は現実的で詳細な内容が繰り返して出現するとされています。パーキンソン症状のうち、3項目揃えば確診(DLB)、2項目で多分(probable DLB)、1項目では可能性(possible DLB)とされています。
初期に幻覚、幻視や錯視、妄想がでるのが特徴ですが、アルツハイマー型認知症と比べ近時記憶は比較的保たれます。幻視や錯視の出現率はアルツハイマー型認知症で30~40%、レビー小体型認知症で50~70%といわれています。
幻視とは、実際には存在しない物が本人には見えたり、それが襲ってくるというもので、それは人であったり、小動物のことが多いようです。錯視とは、実際にあるものとは違うものが見えると主張する(見間違う)ことをいいます。なお、幻聴は幻視と比べて頻度は低く、単純な幻音、幻声が多いとされています。
医療法人翠清会・翠清会梶川病院、介護老人保健施設、地域包括支援センター会長
日本脳神経外科学会認定専門医
日本脳卒中学会認定専門医
日本神経学会・日本認知症学会会員
広島県難病指定医、
広島県「もの忘れ・認知症相談医(オレンジドクター)
日本医師会&広島県医師会
日本医療法人協会&全日本病院協会広島県支部所属。
広島県広島市出身 1957年修道高等学校卒業、1963年京都大学医学部卒。
1964 聖路加国際病院でインタ−ン修了、医師国家試験合格、アメリカ合衆国臨床医学留学のためのECFMG試験合格、1968年京都大学大学院修了(脳神経外科学)医学博士。
1970年広島大学第二外科・脳神経外科(助手)、1975年大阪医科大学第一外科・脳神経外科(講師、助教授)。
1976年ニューヨーク モンテフィオーレ病院神経病理学部門(平野朝雄教授)留学。1980年梶川脳神経外科病院(現医療法人翠清会・翠清会梶川病院、介護老人保健施設、地域包括支援センター)開設。医学博士。1985年槇殿賞(広島医学会会頭表彰)、1996年日本医師会最高優功賞。
著者プロフィール詳細
連載記事一覧
連載認知症に負けないために 知っておきたい、予防と治療法
医学博士
大阪府立北野高校を経て、1961年京都大学医学部卒。大阪北野病院でインタ−ン修了。
1961年アメリカ合衆国臨床医学留学のためのECFMG試験合格。
1967年京都大学大学院修了(脳神経外科学)医学博士。1968年日本脳神経外科学会認定医。1969年京都大学脳神経外科助手。
1971年シカゴノースウエスタン大学脳神経外科レジデント。1975年京都大学脳神経外科講師。1979年京都大学脳神経外科助教授。1981年高知医科大学(現高知大学医学部)脳神経外科初代教授。
1992〜1999年厚生省特定疾患難治性水頭症調査研究班班長。1992年第2回高知出版学術賞受賞。
1996〜2000年高知県医師会理事。1999〜2001年国際小児神経外科学会倫理委員会委員長。
2000〜2001国際小児神経外科機関誌「Child's Nervous System」編集委員。2000年高知大学名誉教授。著書多数。
著者プロフィール詳細
連載記事一覧
連載認知症に負けないために 知っておきたい、予防と治療法