実は認知症のタイプにより症状や経過が少しずつ異なり、経過も治療も予後も介護の仕方も違ってきます。正しい診断を受けているか判断するためにも、認知症についての知識を深めておく必要があります。今回は、医療法人翠清会・翠清会梶川病院、介護老人保健施設、地域包括支援センター会長の梶川博氏、医学博士である森惟明氏の共書『改訂版 認知症に負けないために知っておきたい、予防と治療法』(幻冬舎MC)より一部を抜粋し、アルツハイマー型認知症について詳しく見ていきましょう。
もの忘れで始まる「アルツハイマー型認知症」
アルツハイマー型認知症(Dementia of Alzheimer's type、DAT、Alzheimer's dementia、AD)については、少し前まで、日本人にみられる認知症の大部分は「血管性」で、「アルツハイマー型」は少ないといわれていました。
最近では欧米人と同じく、日本人の認知症の約半数がアルツハイマー型になりました。出現頻度は50~60%で、高齢者で最も多いのはアルツハイマー型認知症です。
ちなみに、アロイス・アルツハイマー(Alois Alzheimer,1864~1915)医師は、1906年11月3日、56歳で死亡した女性認知症患者について講演し、1907年に論文として発表したとのことです。
この型の認知症の症状の出現は、脳の中でも、近時記憶を司る海馬や人間らしさを司り大脳の表面をおおっている大脳皮質といわれる部分の萎縮が徐々に進行し、脳全体の機能が衰えていくことに端を発します。そして、記憶に関係するアセチルコリンという神経伝達物質が減少していることが分かっています。
初老期(40歳以上65歳未満)から老年期(65歳以上)に発症し始めます。初発段階では、軽度認知障害(MCI)の諸症状が出現している程度で、はっきりと認知症だとは分からないのです。しかし、認知機能の低下は確実に、ゆっくり進んでいきます。
発症から5年間で約半数が重症化し、発症後の寿命は約10年(2~20年)とされています。若年期(40歳未満)に発症することは比較的稀です。
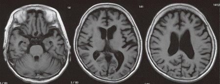
アルツハイマー型認知症の人の脳には…
アルツハイマー型認知症の人の脳ではアミロイド仮説といわれている老人斑と神経原線維変化が特徴的病理所見です。灰白質にも白質にも萎縮や変性がみられます。
【関連記事】
■税務調査官「出身はどちらですか?」の真意…税務調査で“やり手の調査官”が聞いてくる「3つの質問」【税理士が解説】
■親が「総額3,000万円」を子・孫の口座にこっそり貯金…家族も知らないのに「税務署」には“バレる”ワケ【税理士が解説】
■「銀行員の助言どおり、祖母から年100万円ずつ生前贈与を受けました」→税務調査官「これは贈与になりません」…否認されないための4つのポイント【税理士が解説】
医療法人翠清会・翠清会梶川病院、介護老人保健施設、地域包括支援センター会長
日本脳神経外科学会認定専門医
日本脳卒中学会認定専門医
日本神経学会・日本認知症学会会員
広島県難病指定医、
広島県「もの忘れ・認知症相談医(オレンジドクター)
日本医師会&広島県医師会
日本医療法人協会&全日本病院協会広島県支部所属。
広島県広島市出身 1957年修道高等学校卒業、1963年京都大学医学部卒。
1964 聖路加国際病院でインタ−ン修了、医師国家試験合格、アメリカ合衆国臨床医学留学のためのECFMG試験合格、1968年京都大学大学院修了(脳神経外科学)医学博士。
1970年広島大学第二外科・脳神経外科(助手)、1975年大阪医科大学第一外科・脳神経外科(講師、助教授)。
1976年ニューヨーク モンテフィオーレ病院神経病理学部門(平野朝雄教授)留学。1980年梶川脳神経外科病院(現医療法人翠清会・翠清会梶川病院、介護老人保健施設、地域包括支援センター)開設。医学博士。1985年槇殿賞(広島医学会会頭表彰)、1996年日本医師会最高優功賞。
著者プロフィール詳細
連載記事一覧
連載認知症に負けないために 知っておきたい、予防と治療法
医学博士
大阪府立北野高校を経て、1961年京都大学医学部卒。大阪北野病院でインタ−ン修了。
1961年アメリカ合衆国臨床医学留学のためのECFMG試験合格。
1967年京都大学大学院修了(脳神経外科学)医学博士。1968年日本脳神経外科学会認定医。1969年京都大学脳神経外科助手。
1971年シカゴノースウエスタン大学脳神経外科レジデント。1975年京都大学脳神経外科講師。1979年京都大学脳神経外科助教授。1981年高知医科大学(現高知大学医学部)脳神経外科初代教授。
1992〜1999年厚生省特定疾患難治性水頭症調査研究班班長。1992年第2回高知出版学術賞受賞。
1996〜2000年高知県医師会理事。1999〜2001年国際小児神経外科学会倫理委員会委員長。
2000〜2001国際小児神経外科機関誌「Child's Nervous System」編集委員。2000年高知大学名誉教授。著書多数。
著者プロフィール詳細
連載記事一覧
連載認知症に負けないために 知っておきたい、予防と治療法