実は認知症のタイプにより症状や経過が少しずつ異なり、経過も治療も予後も介護の仕方も違ってきます。正しい診断を受けているか判断するためにも、認知症についての知識を深めておく必要があります。今回は、医療法人翠清会・翠清会梶川病院、介護老人保健施設、地域包括支援センター会長の梶川博氏、医学博士である森惟明氏の共書『改訂版 認知症に負けないために知っておきたい、予防と治療法』(幻冬舎MC)より一部を抜粋し、「前頭側頭型認知症」について詳しく見ていきましょう。

人格の変化が特徴的な「前頭側頭型認知症」

三大認知症(アルツハイマー型認知症レビー小体型認知症血管性認知症)と前頭側頭型認知症(ピック病を含むfrontotemporal dementia:FTD)を併せて「四大認知症」と呼ぶことがあります。頻度はアルツハイマー型認知症の1/10以下(数%)です。65歳以下(40~60代)の発症が多く、性差はありません。ときに家族歴を有することがあります。

 

65歳以下(40~60代)の発症が多い(画像はイメージです/PIXTA)
65歳以下(40~60代)の発症が多い(画像はイメージです/PIXTA)

 

アルツハイマー型認知症では、大脳皮質全体に障害が起こるのと比べ、ピック病(Pickʼs disease)では文字通り脳の前頭葉と側頭葉に障害(萎縮)が起こります。

 

なお、ピック病(最初に症例報告したアーノルド・ピック医師に由来)は前頭側頭型認知症の代表疾患ですが、ピック病は病理学的にピック球(ピック小体)を認めるものと定義されました。

 

異常にリン酸化したタウ蛋白が蓄積します(タウオパチー:tauopathy)。ピック病の症状は前頭側頭型認知症のそれと同様であることから前頭側頭型認知症の原型と考えられます。

 

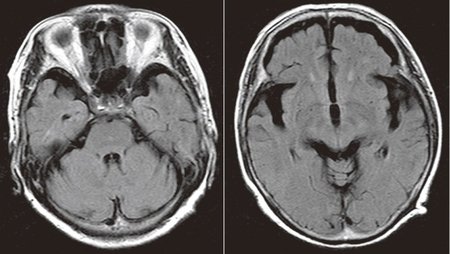
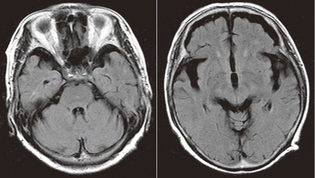
60代後半女性。2年前から記憶があいまいに。家事に無関心・無気力、肉じゃがを作れない。日にちが分からない。めまいがする。朝から起きていられない、ふらふらする。本やテレビを見ていると気分が悪くなってくる。HDS-R13点、MMSE13点。両側前頭葉および両側側頭葉の萎縮が目立つ。海馬の萎縮は認めない
[図表1]前頭側頭型認知症のMRI像 60代後半女性。2年前から記憶があいまいに。家事に無関心・無気力、肉じゃがを作れない。日にちが分からない。めまいがする。朝から起きていられない、ふらふらする。本やテレビを見ていると気分が悪くなってくる。HDS-R13点、MMSE13点。両側前頭葉および両側側頭葉の萎縮が目立つ。海馬の萎縮は認めない
 
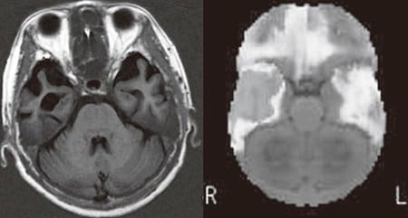
左:MRI像、右:脳血流SPECT像。60代女性。お金の計算もできて、買い物に行っても同じ物を買ってくることはない。夫の顔も覚えている。しかし「言葉が分からなくなった」と困っていた。頭部MRIでは両側(特に右側)の側頭葉に萎縮がみ られる。脳血流SPECT(3D-SSP)では明らかにその場所の血流が低下していた。アルツハイマー型認知症で特徴的とされる後部帯状回、楔前部の血流低下は認めない。この方は左利きなので、右側に言語機能があるようである
[図表2]前頭側頭型認知症の脳画像 左:MRI像、右:脳血流SPECT像。60代女性。お金の計算もできて、買い物に行っても同じ物を買ってくることはない。夫の顔も覚えている。しかし「言葉が分からなくなった」と困っていた。頭部MRIでは両側(特に右側)の側頭葉に萎縮がみ られる。脳血流SPECT(3D-SSP)では明らかにその場所の血流が低下していた。アルツハイマー型認知症で特徴的とされる後部帯状回、楔前部の血流低下は認めない。この方は左利きなので、右側に言語機能があるようである

 

 

最近の診断基準(Rascovsky Kらにより2011年に発表)では、臨床的には異常行動を中心とする行動障害型前頭側頭型認知症(behavioral variant FTD:bvFTD)と言語障害(喚語困難、反響言語、文法の誤りなど)を主体とする言語障害型前頭側頭型認知症に分類されました。

 

【12/18(木) 『モンゴル不動産セミナー』開催】

坪単価70万円は東南アジアの半額!! 都心で600万円台から購入可能な新築マンション

次ページ初期症状は「記憶障害」とは限らない
改訂版 認知症に負けないために知っておきたい、予防と治療法

改訂版 認知症に負けないために知っておきたい、予防と治療法

梶川 博、森 惟明

幻冬舎メディアコンサルティング

「脳梗塞・認知症・運動器症候群」 三大疾患 徹底解説シリーズの改訂版! 三大疾患「脳梗塞・認知症・運動器症候群(ロコモ)」を治療・予防することで「寝たきり」と「認知機能低下」を防ぎ、高齢者が自立して健やかな老後…

富裕層のためのセミナー情報、詳細はこちらです 西京銀行の特設ページ「アパート経営オンライン」はこちらです 特設ページ「社長・院長のためのDXナビ」はこちらです 不動産小口化商品についての情報サイト「不動産小口化商品ナビ」はこちらです 富裕層のための会員組織「カメハメハ倶楽部」の詳細はこちらです 一人でも多くの読者に学びの場を提供する情報サイト「話題の本.com」はこちらです 男性更年期専門外来・心療内科の東京ハブクリニックの詳細はこちらです THE GOLD ONLINEの広告掲載について詳細はこちらです

人気記事ランキング

  • デイリー
  • 週間
  • 月間

メルマガ会員登録者の
ご案内

メルマガ会員限定記事をお読みいただける他、新着記事の一覧をメールで配信。カメハメハ倶楽部主催の各種セミナー案内等、知的武装をし、行動するための情報を厳選してお届けします。

メルマガ登録