「急に言葉が分からなくなった」60代女性の脳画像
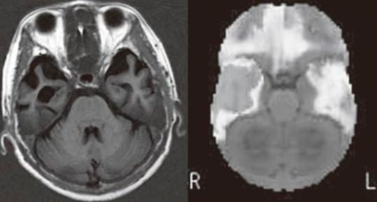
※60代女性。お金の計算もできて、買い物に行っても同じ物を買ってくることはない。夫の顔も覚えている。しかし「言葉が分からなくなった」と困っていた。頭部MRIでは両側(特に右側)の側頭葉に萎縮がみ られる。脳血流SPECT(3D-SSP)では明らかにその場所の血流が低下していた。アルツハイマー型認知症で特徴的とされる後部帯状回、楔前部の血流低下は認めない。この方は左利きなので、右側に言語機能があるようである。
【関連記事】
■税務調査官「出身はどちらですか?」の真意…税務調査で“やり手の調査官”が聞いてくる「3つの質問」【税理士が解説】
■親が「総額3,000万円」を子・孫の口座にこっそり貯金…家族も知らないのに「税務署」には“バレる”ワケ【税理士が解説】
■「銀行員の助言どおり、祖母から年100万円ずつ生前贈与を受けました」→税務調査官「これは贈与になりません」…否認されないための4つのポイント【税理士が解説】

