2年前から記憶があいまいに…60代女性のMRI画像

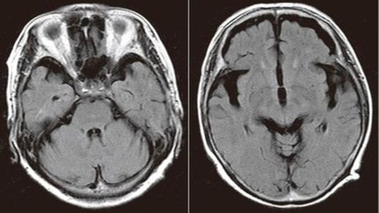
[図表1]前頭側頭型認知症のMRI像

 

※60代後半女性。2年前から記憶があいまいに。家事に無関心・無気力、肉じゃがを作れない。日にちが分からない。めまいがする。朝から起きていられない、ふらふらする。本やテレビを見ていると気分が悪くなってくる。HDS-R13点、MMSE13点。両側前頭葉および両側側頭葉の萎縮が目立つ。海馬の萎縮は認めない。

 

【12/18(木) 『モンゴル不動産セミナー』開催】

坪単価70万円は東南アジアの半額!! 都心で600万円台から購入可能な新築マンション

次ページ特定の症状が強く出る人もいれば…

本記事は幻冬舎ゴールドライフオンラインの連載の書籍『認知症に負けないために知っておきたい、予防と治療法~改訂版』より一部を抜粋したものです。最新の税制・法令等には対応していない場合がございますので、あらかじめご了承ください。

改訂版 認知症に負けないために知っておきたい、予防と治療法

改訂版 認知症に負けないために知っておきたい、予防と治療法

梶川 博、森 惟明

幻冬舎メディアコンサルティング

「脳梗塞・認知症・運動器症候群」 三大疾患 徹底解説シリーズの改訂版! 三大疾患「脳梗塞・認知症・運動器症候群(ロコモ)」を治療・予防することで「寝たきり」と「認知機能低下」を防ぎ、高齢者が自立して健やかな老後…

富裕層のためのセミナー情報、詳細はこちらです 西京銀行の特設ページ「アパート経営オンライン」はこちらです 特設ページ「社長・院長のためのDXナビ」はこちらです 不動産小口化商品についての情報サイト「不動産小口化商品ナビ」はこちらです 富裕層のための会員組織「カメハメハ倶楽部」の詳細はこちらです 一人でも多くの読者に学びの場を提供する情報サイト「話題の本.com」はこちらです 男性更年期専門外来・心療内科の東京ハブクリニックの詳細はこちらです THE GOLD ONLINEの広告掲載について詳細はこちらです

人気記事ランキング

  • デイリー
  • 週間
  • 月間

メルマガ会員登録者の
ご案内

メルマガ会員限定記事をお読みいただける他、新着記事の一覧をメールで配信。カメハメハ倶楽部主催の各種セミナー案内等、知的武装をし、行動するための情報を厳選してお届けします。

メルマガ登録