"未知の放射線"がそのまま定着…「X線」の歴史
体にメスを入れずに内部を観察する医療技術には内視鏡があります。
しかし体内を覗ける技術は内視鏡だけではありません。X線(レントゲン)撮影装置や、CT、MRIも、体の中を画像や映像にすることができます。
定期健康診断でもおなじみのレントゲン写真は、専門的には「単純線検査」と呼ばれ、体の中を覗く技術の中でも最古のものです。
その開発は1895年、ドイツの物理学者ヴィルヘルム・レントゲン(1845〜1923)によるX線の発見にさかのぼります。世界最初のX線写真は、X線の発見から数日後に撮影された、レントゲンの妻であるベルタ夫人の手の骨(と指輪)の写真でした。
レントゲンの技術はまたたく間に世界中に広がっていき、日本でも1896年には島津製作所の二代目社長であり発明家の島津源蔵(1869〜1951)が国内初のX線写真撮影に成功しています。ちなみに、島津製作所の初代社長である「初代島津源蔵」は、この島津源蔵の父親です。1894年に初代が急死し、長男の梅次郎が源蔵を襲名したのです。
こうして世界に広まっていったレントゲン写真ですが、実はレントゲン自身も、なぜ骨の透視写真が撮影できるのかはよくわかっていませんでした。
そこで彼は、この得体の知れない「未知の放射線」を仮称として「X(未知の)線」と名づけたのですが、それがそのまま呼称として定着してしまったというわけです。
その後、X線が非常に強い透過性を持つ〝目に見えない光の一種(電磁波)〟であることが明らかにされます。それは、レントゲンの同僚であるドイツのマックス・フォン・ラウエ(1879〜1960)によってでした。
では、レントゲン写真はどのような仕組みによって撮影されるのでしょうか?
レントゲン写真で骨が見えるワケ
X線によるレントゲン写真の仕組みを説明する前に、まずフィルムカメラの写真撮影をイメージしてみてください。
そもそもフィルムカメラの写真は、フィルムが光によって感光する(光の照射によって化学変化を起こす)ことで、できあがります。私たちの目に見える光(可視光線)は電磁波の一種であり、この電磁波には感光フィルムを変色させる性質があるのです。
では、X線はどうかというと、こちらも電磁波の一種です。つまり、X線も光(可視光線)と同様に、感光フィルムを変色させるのです。
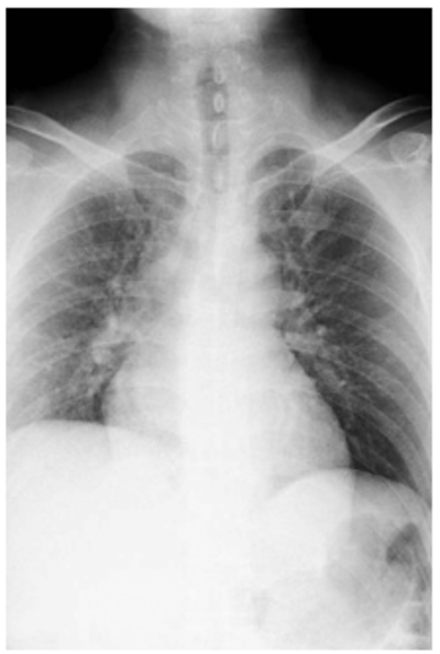
人体は部位によってX線を通す(透過する)度合いが異なり、筋肉や軟骨、皮膚などは光を透過しやすい反面、骨はとても透過しづらい性質を持ちます。また、感光フィルムには、より強いX線が当たるほど黒くなるという性質があります。
この双方の特性によって、レントゲン写真は[図表1]のように、X線が透過しづらい骨の部分が、白く映るのです。
ちなみに、骨のX線透過度合いが低いのは、骨に大量に含まれるカルシウムのせいです。X線は金属に吸収されやすい性質を持っているのですが、実はカルシウムは金属の一種です。
健康診断などで胸部レントゲン写真を撮る際に、腰に鉛などの金属が入った防護エプロンを巻くのも、不必要な部位へのX線被ばくを防ぐためです。
[図表2]のように、X線は人体を直線的に透過した後に感光フィルムに達します。このとき人体の部位によってX線の透過度合い(吸収されやすさ)が異なることから、前述の通り、感光フィルムに達するX線にも強弱が現われ、その陰影がレントゲン写真に映し出されるのです。


