患者にダメージの少ない術式で回復をサポート
タイミングも味方し、初診からわずか1.5ヵ月後に人工膝関節置換術を受けることになったAさん。長年悩まされ続けてきた膝の痛みから解放される日が近づいてきました。
「人工膝関節置換術」は筋肉を切らないため痛みが少なく回復も早い
手術前日に入院していただき、当日は朝から手術の準備です。
筆者は人工膝関節置換術をする際、術中だけでなく術後の状態を第一に考え、可能な限り筋肉にダメージを与えず、手術を行うことを最優先課題としています。
たとえば、通常は内側広筋(ないそくこうきん)を切開して行う方法が一般的ですが、筆者は皮膚の切開を最小限に抑え、さらに内側広筋を切らずにアプローチするという、筋肉を温存する術式を採用しています。
変形性膝関節症の手術に限らず、どんな治療でも「悪い部分を除去して人工物に置き換えればいい」というわけではなく、「術後に痛みが少なく、スムーズに回復する」という点まで考えることが必要です。
実際、変形性膝関節症の人工膝関節置換術の場合、術後のリハビリは3~6ヵ月程度に及びますし、リハビリ期間が終了しても、日常生活で積極的に膝を動かしながら、可動域を広げ、滑らかな動きを取り戻す努力が必要になります。
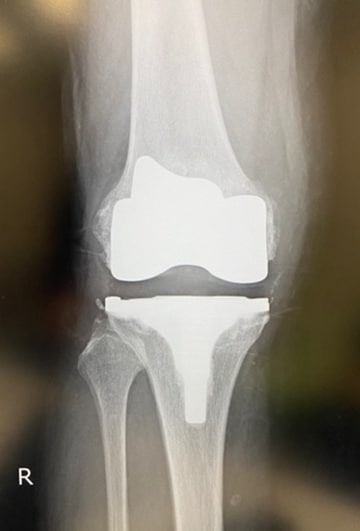
手術ではその点も考慮し、術後の速やかな回復をサポートするため、極力低侵襲の術式を採用することが大切です。下記のレントゲンを見ると分かるように、Aさんの手術は無事成功しました。
変形性膝関節症につながる「良性腫瘍」も同時に手術
Aさんの場合、変形性膝関節症に加えて「滑膜性骨軟骨腫症(かつまくせいこつなんこつしゅしょう)」も発症していました。滑膜性骨軟骨腫症とは、骨の表面など骨外に生じる軟骨性の良性腫瘍で、これが増殖するとさらに変形性膝関節症が悪化し、脚の変形が進行してしまいます。
そこで手術では、人工膝関節に置換するとともに良性腫瘍もすべて除去。傷んだ軟骨やツノのように突起した骨軟骨種もすべて取り除き、すっかりきれいな状態になりました。
手術時間は80分。骨軟骨種もあったため、平均より若干長めでしたが、術後の回復は非常に好調でした。Aさんは1ひとり暮らしということもあり、希望通り13日間入院したあと、リハビリ病院へ転院しました。リハビリは、毎日30〜40分程度、それ以外の時間は自由に過すごしていたそうです。



