「早ければ数日、長くてもあと1ヵ月の命」
不整脈は、年齢が上昇するにつれて発症率が高くなる疾患です。そのため、「何歳まで治療できるか」というのは、重要なテーマ。しかし筆者は、「年齢は、カテーテルアブレーション治療を行わない理由にはならない」と考えています。
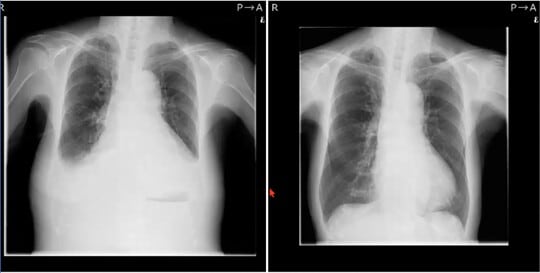
今回紹介するのは、92歳の女性患者Dさんの事例です。まずは、下記のレントゲン写真を見てください。
左側が筆者のクリニックに入院したばかりのころ、右側がカテーテルアブレーション治療をし、1年ほど経過したころです。左側のレントゲン写真を見て、筆者は「早ければ数日、長く見積もってもあと1ヵ月の命」と診察しました。
“このまま死ぬしかないのか”…電気ショックも効果なし
Dさんの病名は、「持続性心房細動」です。Dさんはいろいろな医療機関で治療をされてきましたが、どれだけ利尿剤や薬を使っても、完治することはできなかったそうです。過去に電気ショックもかけられたようですが、ほんの数秒正常に戻るだけで、あまり効果がなかったようでした。
また、どの医師も年齢を理由にさじを投げ、Dさん本人も「このまま命を落とすしかないのか」と、薄々感じていたそうです。
そんなとき、ある医師から筆者のところへ電話で相談がありました。「Dさんのカテーテルアブレーション治療をしてくれないか」というのです。そこで、筆者はまず本人と話をさせてほしいと依頼しました。
“手術したい。私は生きたい”…真剣な思いに打たれ、治療を実行
筆者はDさんに、手術の意向があるのか尋ねました。すると、Dさんは力強くこう言いました。
「(手術する意思が)ある。私は生きたい。治療が失敗して死んでも構わないので、カテーテルアブレーション治療をしてください」
その後、無事カテーテルアブレーション治療は成功。入院当初は、心不全のため足も顔もパンパンに腫れていたDさんでしたが、カテーテルアブレーション治療をしたところ体内にたまっていた水が一気に引いて、15キロほど痩せました。


