効き目は強いが副作用も大きい「抗不整脈薬」
Bの不整脈を起こさないようにする「抗不整脈薬」は、具体的には
・フレカイニド
・プロパフェノン
・シベンゾリン
・ベプリジル
・アミオダロン
などたくさんの種類があり、いずれも副作用が起きる可能性があります。
しかも、心室頻拍や心室細動、心停止など、不整脈よりもずっと重症で命のリスクがある副作用ばかり。つまり、治療対象となる不整脈よりも、もっと怖い病気を招きかねないということです。
そのことを明らかにした代表的な試験が、1991年に行われた「CAST試験」です。研究の背景には、「患者の心筋梗塞後の死亡原因に、心室性不整脈による不整脈死が多い」という事実がありました。
そこで、「心室性期外収縮や心室頻拍を抗不整脈薬で治療すれば、不整脈による死亡を予防することができるのではないか」という仮説が立てられ、研究が行われました。
その結果、心筋梗塞後の不整脈患者に抗不整脈薬を投与するのは、かえって死亡率を高めることにつながるということが分かり、最近では、抗不整脈薬は積極的に使われなくなりました。
間質性肺炎を引き起こすリスクも
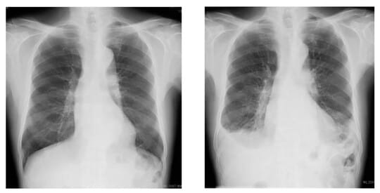
もうひとつ、抗不整脈の副作用についてお話しておきましょう。現在、抗不整脈のなかで効力が最大と言われている薬が「アミオダロン」です。
これは心機能の抑制効果が少ないので、心臓に副作用を起こすリスクが非常に低いとされています。しかし、その反面、3%の割合で間質性肺炎を起こすことがわかっています。
このように、抗不整脈の薬は心室頻拍や心室細動、心停止など重大な副作用を招くリスクがあることから、通常は、定期内服ではなく、「Pill in the pocket」といって、常に薬を持ち歩き、発作が起きたときに服用するスタイルが推奨されています。
しかし、未だ頻脈性不整脈に対する内服薬として、これらの抗不整脈薬を安易に処方するケースが少なくありません。これは、非常に危険なことです。
もし現在、頻脈性不整脈の治療として薬を内服している場合には、ご自分がどのような薬を服用しているのか、今一度、確認してみることをおすすめします。

![[図表2]「アミオダロン」を服用して、間質性肺炎を引き起こした不整脈患者のレントゲン写真。右写真は白がかっている 提供:東京ハートリズムクリニック](https://ggo.ismcdn.jp/mwimgs/3/0/540/img_30ca116a27b6777850a60e07e44b2391105297.jpg)
