多くの有名人が命を落とす「くも膜下出血」
「くも膜下出血」という言葉は、皆さん1度は聞いたことがあると思います。2年に1度くらいは有名人が亡くなったり、手術を受けたりしているニュースが流れます。我々脳神経外科医も外来診療で絶対に見落としてはいけない疾患ですから、神経を使って診察にあたっています。
印象的なニュースとしては、ウクライナ情勢の時事解説でテレビに最近よく出ていた国際政治学者の慶応大学教授中山俊宏氏が、テレビで突然見なくなった? と思っていたら、先日突然くも膜下出血で亡くなっていたのには驚きました。享年55歳です。
巨人軍の木村拓也選手も、2010年に37歳で亡くなりました。右手にボールを持ったまま前のめりに倒れる瞬間が、いまもYouTubeで観ることができます。
水泳で有名だった木原光知子さんも、2007年に59歳で突然亡くなっています。彼女は小学生に水泳を教えている最中だったそうで、周りの人々も相当驚かれたことでしょう。
また、筆者の高校時代親しくしていた友人は、高校の教師をしていましたが、同窓会で会った翌年くらいでしたか、「頭痛がするから早く寝るわ……」と部屋に行ったまま、翌朝には死亡していたと聞きました。
検査していれば救えた?…進化するCT・MRI
「くも膜下出血」はほとんどの場合「脳動脈瘤」といって、脳動脈の分岐部に「コブ」があるのが一般的です。
現在のCTやMRIでは性能が向上し、そのコブの姿を描出することが可能です。筆者は、MRI検査でチェックさえしていれば、この4人の方々の命を救うことができたのではないかと思います。
特に巨人軍の木村選手は、前日に頭痛があったようですが、真面目な性格が災いしたのか、無理をして試合前のノック練習に出てきたようです。治療にあたった広島の関係者から状況を聞きましたが、来院時にはほぼ脳死で手を出すことが困難な状態だったそうです。
ただコブそのものは、十分に治療できる形状の動脈瘤だったとのことです。試合前練習に行く代わりに、脳神経外科のある病院を受診していたら……と思うと非常に残念に思います。
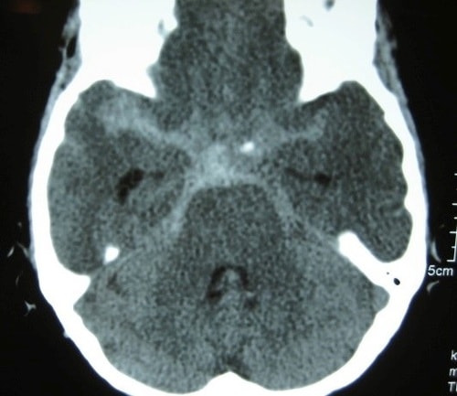
下記図表1のCT画像のように、検査をすれば診断は一瞬にして可能なのです。
近年のMRIの質向上には目を見張るものがあります。実際に造影剤など使用することなく、[図表2]のような脳血管画像が描出されます。
どこに異常があるか一目瞭然といっても過言ではありません。1980年代から現在まで筆者はその変遷をみていますが、画質の差は月とスッポンです。しかも10分もかからず検査することが可能になりました。



