現代人の多くが抱える「歯並び」の問題
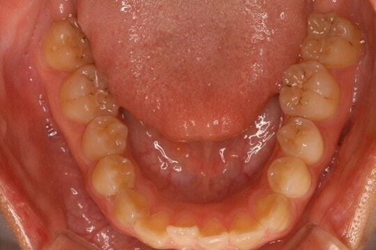
[図表2]は、Ⅱ型と分類しました。Ⅰ型に比べアーチの幅は狭く、V字形の歯並びをしています。歯が内側に倒れこんでいて、舌に歯の痕がついているのがおわかりいただけるでしょうか?
この歯の痕が「舌ストレス」で、現代人の典型的な形です。筆者のデータでは、70%の方がこれに属します。
[図表3]は、V字の歯並びをさらに逸脱して、真ん中あたりの歯が舌側に倒れこんでいます。これをⅢ型と分類しました。
舌にもえぐれたような歯の跡がみえますが、これが強烈な舌ストレスとなっています。現代人の4人に1人がこのケースです。肩こりや腰痛などの不定愁訴も多く、矯正治療が必要なケースも多々あります。
しかし、この内側に突き出た真ん中あたりの歯は、肩こりや首のこりの原因にはなりますが、舌ガンになる可能性でいうとほとんどありません。
というのは、舌ガンの原因となる歯は、一番後ろの歯である「7番」が約30%、その1つ手前の「6番」が約70%と、ほとんどをこの後ろの2歯で占めているからです。
2週間経っても治らない口内炎は「舌ガン」かも
舌ガンは持続した歯の刺激によって起こる
舌ガンの口のなかを模写したイラストでご説明します。
[図表4]は、6番という後ろから2番目の歯が原因で舌ガンになっています。6番の立ち上がった咬頭が、繰りかえし舌を刺激した結果、舌ガンになってしまったのです。このように、通常の炎症であれば、2週間程度で治る傷がいつまでたっても治らない場合は、舌ガンを疑ってみたほうが良いでしょう。
舌ガンになりやすい人…その予防法とは
では、舌ガンにならないようにするにはどうしたらいいのでしょうか。それには、どんな人が舌ガンになりやすいのかをまず知る必要があります。
舌ガンになりやすい人は、
➁口のなかが不潔
③歯並びがせまい
④いつも歯が舌に当たっている
⑤常に同じ部位に口内炎ができている
といった特徴があげられます。
したがって、舌ガンを予防するには、お酒とタバコの量をほどほどにし、お口のケアを丁寧に行うことが大切です。
また、歯並びが狭く歯が舌に当たっていて痛いのであれば、矯正治療で広げるのも1つの方法です。舌に当たる気になる歯があるなら、歯の形を変え、当たらないようにしておくといいでしょう。
要は、持続した化学的・物理的刺激を取り除けばよいのです。

