糖質を摂らなくてもエネルギー補給できる油がある?
糖質を取らないプチ断食で気を良くした筆者ですが(『皮下脂肪は食事制限でしか減らせない?医師が体を張って調査』参照)、1週間だから耐えられただけかもしれないと思い、これを長く続けたら体調にどのような変化が出るのか、果たして安全なのかを追究したくなりました。
そこで、ケトン食をさらに続ける実験に移ったのです。今回は期限を設けずに続けるつもりなので無理はせず、夕食だけではなく朝食も昼食も摂る代わりに、ケトン食を徹底しました。肉や魚、卵、大豆食品、野菜などからタンパク質や脂質、ビタミン、ミネラルといった必要な栄養素を摂るようにしたのです。
ケトン食の場合、メインのエネルギー源は脂質ですが、糖質が体に入ってこないときには脂肪やアミノ酸を材料にして糖エネルギーを作り出す「糖新生」というシステムがあるので、タンパク質が不足すると筋肉のアミノ酸が消費され、筋肉量が減ってしまいます。ですから、タンパク質は特に多く摂るように心がけました。
こうしてケトン食の生活を続けていると、今回はお腹が空いてエネルギー不足ではないかと感じるようになったのです。だからといって、ここで糖質を口にすれば、それが呼び水となって再び体は糖を欲しがり、それでエネルギーを作るようになってしまいます。
では、糖質に代わるエネルギー源として何で補えばよいのか。考えた末に行きついたのが油でした。
エネルギー補給は、スプーン1杯の「MCTオイル」で
ケトン体は、脂肪からエネルギーを作り出します。脂質の主な成分である脂肪酸は、分子が鎖のようにつながっており、その長さによって「長鎖脂肪酸」「中鎖脂肪酸」「短鎖脂肪酸」の三つに分けられています。私たちが日常的に摂っている食用油の多くは長鎖脂肪酸で、消化・吸収までにはいくつものプロセスを経なければなりません。
これに対して中鎖脂肪酸は、水になじみやすい性質のうえ、早く分解されるので、すぐにエネルギーとして利用できるのです。しかも、血糖値を上げず、油なのに体脂肪として蓄積されにくいので動脈硬化を予防しつつ、ケトン食でお腹が空いたときのエネルギーチャージには実に効果的です。
しかし、中鎖脂肪酸を含む食品は少ないため、食品から抽出したMCTオイルを利用するしか効果的な方法はありません。
そこで、朝や日中の小腹が空いたとき、スプーン1杯のMCTオイルを入れたブラックコーヒーを飲むようにしました。こうするとコーヒーがクリーミーになり、カフェオレみたいになるのです。これならコーヒーをブラックで飲めない人でも、マイルドな口当たりになるので飲めるのではないかと思います。味噌汁に入れたりサラダにかけたりしてもOKです。
使い勝手が良いばかりか即効性があるので、食の細い高齢者でも、汁物に入れればエネルギーを確保でき、体力の低下も防げます。
最近はCMでも紹介されているので、MCTオイルをご存じの人も多いと思います。一般には新しいタイプの油と思われていますが、実は手術後の患者さんなど消化機能の弱っている人の栄養補給として、医療現場では以前から用いられてきたものです。それだけに、安心して使えるオイルともいえます。
おかげで筆者のケトン食実験も、MCTオイルという強い味方を得たことで空腹感を味わうことなく順調に進みました。ほとんど糖質を摂らない食生活でも、体調を崩すことなく、肥満を予防できています。
糖質を摂らなくてもエネルギーを補給できる油がある!?
→ホント
●ケトン食ダイエット時のエネルギー補給にはMCTオイルを活用しましょう。MCTオイルなら、摂取後すぐに元気になって眠くならず、食欲をそそらないので過食を防ぐことにもつながります。
●脂質はメタボの原因といわれていますが、油によってはメタボ予防に役立ちます。「中鎖脂肪酸」を含む食品に注目してみましょう。
動脈硬化予防には「オメガ3」の推奨量摂取で十分か?
糖尿病や脂質異常症、高血圧などをなぜ放っておいてはいけないかというと、動脈硬化を引き起こすからです。動脈硬化は血管を傷つけて脳梗塞や心筋梗塞など命にかかわる心血管疾患のリスクを高め、寿命を縮める原因になります。
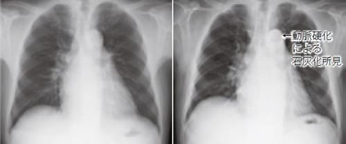
右:2003年3月(74歳)、左:2019年5月(90歳)
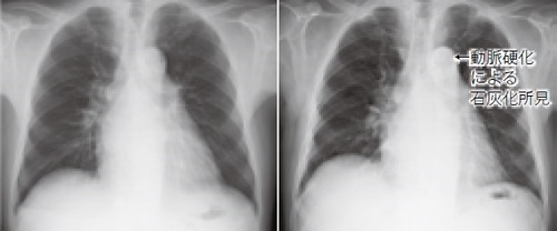
右:2009年3月(57歳)(大動脈弓部には石灰化がない)、左:2017年3月(65歳)(大動脈弓部に石灰化がある)。
筆者の場合、体質的に動脈硬化になるリスク因子が重なっています。このままでは110歳まで生きるのは難しくなると思われ、何としても改善しなければならない課題の一つでした。
そこで、動脈硬化の予防効果がある食品を積極的に摂ることにしました。血液サラサラといえば、サバやアジ、サンマなどの青魚です。これらには、体内で合成することができない必須脂肪酸といわれるDHA(ドコサヘキサエン酸)やEPA(エイコサペンタエン酸)が含まれています。
必須脂肪酸にはいくつか種類があり、青魚に含まれるのは「オメガ3脂肪酸※1」といわれる種類です。オメガ3には、血栓をできにくくしたり、中性脂肪やコレステロール、血圧の上昇を抑えたりするだけではなく、すでに進行している動脈硬化も取り去る作用があります。
しかし、いくら健康に良くても、来る日も来る日も青魚を食べるのは飽きるもので、長続きしそうにありません。食べられる量も限られてきますから、もっと効率良く手軽に摂れる方法でなければ継続は難しく、動脈硬化を予防するうえでは不向きと実感しました。
そこで、サプリメントを利用することにしたのです。推奨されているオメガ3の摂取量は1.8gほどです。これを毎日、10年間飲み続けました。
動脈硬化予防に「毎日4g」のオメガ3を摂取する
ところが、実際はこの量では十分ではありません。「心血管高リスク、脂質値異常の患者さん8179人に対し、オメガ3を4g投与したところ、約5年間の追跡調査で25%減少した」という研究結果が報告※2されているのです。
いくら健康に良くても脂質なので、摂り過ぎるとカロリーオーバーになって逆効果とされていましたが、実際は推奨量の倍もある4gで動脈硬化が予防できるというわけです。
筆者も、オメガ3を毎日4g飲むように変えたところ、現在まで血管拡張能が保たれ、冠動脈の狭窄もないことが検査で確認できました。つまり、動脈硬化は認められなかったのです。
筆者は本格的なマラソンに取り組んでいますが、動脈硬化が起こっていたなら今ごろは倒れていた可能性があります。元気に走れているということも、血管に問題がないという証ではないでしょうか。
さらに、オメガ3は動脈硬化の予防にとどまらず、脳の老化や認知機能の改善にも効果を発揮します。油でありながら血流を良くし、健康に有益な物質なのです。赤血球の膜にも作用して酸素の受け渡しを良くする働きもあるので、アスリートならパフォーマンスも上がると考えられます。
動脈硬化予防には、オメガ3を推奨量摂れば十分!?
→ウソ
●オメガ3の効果を得るためには、毎日4gの摂取を習慣化しましょう。症状が進んでいる人も飲み続ければ改善が期待でき、血管が若返ります。
参考文献
※1 公益財団法人 日本食肉消費総合センター『お肉のあれこれミニ事典』
※2 日本糖尿病学会・日本癌学会 糖尿病と癌に関する委員会: 糖尿病と癌に関する委員会報告. 糖尿病56(6): 374-390. 2013


