歯の健康を守るための“先行投資”の重要性
――定期健診でむし歯が見つかり、治療を受けるといった経験をされている方は多いかと思います。生涯で必要となる歯の治療費は、いったいどれくらいになるのでしょうか?
鈴木 むし歯や歯周病から歯を守る方法はすでに確立されています。アメリカの歯周病学の権威は、「むし歯も歯周病も稀な疾患である」と断言しているほどです。ところが、多くの日本人は歯を守るための知識がなく、治療、治療の繰り返し。ある調査では、80歳になるまでに平均435万4千円の歯科治療費がかかっているという結果が出ています。
むし歯について言えば、子どものころに治した詰め物の隙間から二次むし歯を起こして再治療に。やがて神経を抜かなければならないほどむし歯が大きくなり、最終的には抜歯してインプラントが必要になって……と、歳をとるごとに費用がかさんでくるのです。
予防の知識を持たずにこのような治療を繰り返していると、歯だけでなく同時にお金も失います。私の知人で39歳にしてすでに6本を抜歯し、300万円もの治療費がかかってしまった女性もいます。
歯周病については多くの場合、免疫力が低下し始める30代後半から症状が悪化。歯ぐきからの出血という小さな症状を放置していると、次第に歯を支える骨が溶けていきます。食事をするのが困難になるばかりか、歯周病によって口臭が強烈になり、コミュニケーションも取りづらくなります。
さらに、歯周病は口の中の問題だけにとどまりません。歯周病の原因菌がさまざまな全身疾患と関係していることが明らかになっています。日々の生活を守るためにも、豊かな未来に向かうためにも、口の健康を維持する姿勢が大切なのです。
歯を守るために必要な知識。それを持たないことがどれだけ自分の生活にマイナスをもたらすか、というところまで考えていただきたいと思います。
――ということは、歯を守るための先行投資は不可欠ですね。
歯科衛生士 鈴木茜 氏
鈴木 その通りです。投資に必要なのは“お金”と“時間”。それも、リターンが得られるような投資をしなくては「やってもやらなくても結果は同じ」ということにもなりかねません。頑張ってきたけど、実は無意味なところにお金をかけていた。そんな結果にならないように正しい知識を持つ必要があるのです。
私の母は、定期的に歯科医院でクリーニングを受け、自宅でも必要なケア用品を買いそろえて日々使用していました。自分なりに投資をしていたのです。それにもかかわらず、どんどん歯が崩壊していきました。
昨年、歯科衛生士が読む業界誌の中で、下記図表のようなデータが発表されました。歯肉(歯ぐき)の健康状態の調査結果なのですが、左から「歯科医院で年に3回以上のメインテナンスを受診していた人」「年に2回以下のメインテナンスを受診していた人」「メインテナンスを受診していなかった人」となっています。
[図表]歯肉の健康状態の検査結果(人数比/過去のメインテナンス受診状況別)
グラフを見て、何か気づきませんか? 年に3回メインテナンスに通っていようが、年に2回であろうが、まったく通っていなかろうが、歯肉の健康状態はほとんど変わりません。この衝撃的な検査結果だけを見てしまうと、お金を使っていた人がなんだか損をしているようにも感じられてしまいます。
なぜ、このようなことになってしまうのでしょうか。この調査結果からわかることは、「歯科医院でのクリーニングだけで歯を守れるわけではない」ということです。たとえ年に3~4回のクリーニングを受けていても、自己流のセルフケアを続けている人は、年に数回しかキッチンを掃除していないのと同じ。プロに任せておけば安心、という認識は改める必要があるのです。
セルフケアでは「細菌を取り除く」ことを目標に
――衝撃的ですね。では、歯科のプロではない私たちは、いったいどのように対処すればよいのでしょうか?
鈴木 大切なのは、予防歯科へかかった際にまずは自分の口の中の状態を徹底的に教えてもらうことです。どのような細菌がどれだけ存在し、どこに取り残しがあるのか。細菌を洗い流すだ液の量や、歯を細菌から守るだ液の質はどのレベルなのか。そして、毎日行なうセルフケアは何を目的にどのようにするのが効率的なのか。こうした知識を備えるべきです。
セルフケアとは本来、「むし歯や歯周病の原因である細菌を取り除く」ことが目的です。そのためには、敵である細菌の特徴を認識する必要があります。そうでなければ戦う術がわからないですから。ただ歯ブラシを当てているだけでは、その目的には決してたどり着けない。逆に言えば、敵の特徴をつかみ、戦う術となる知識を知り、セルフケアの技術を身につけさえすれば、「細菌に勝ち続け、健康を維持する」ことは十分可能なのです。
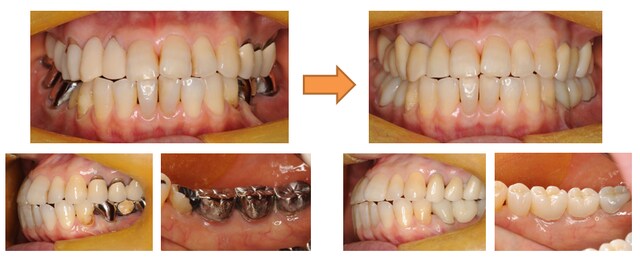
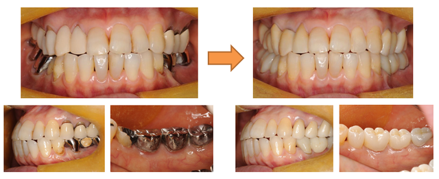
前述した私の母が60歳を過ぎたころに、一部の歯がグラグラすると私に訴えてきました。適切な知識を持たないまま、定期的なクリーニングと自己流のセルフケアを続けた結果が写真(下記左側)の状態です。でも、母は気づいたときにすぐ治療という行動を起こしました。さらには歯を守るための知識とスキルを習得しました。その結果、現在の状態がこちら(下記右側)です。気がついた時点で意識を改めれば、いつから始めても決して遅すぎるということはありません。きれいな歯を諦めないでください。
[写真]ケアによる口腔内の変化(左:ケア前、右:ケア後)
母はこの状態を維持するために、1日3回のデンタルフロスを習慣にして細菌を確実に除去しました。また、信頼できる歯科衛生士との出会いによって、「適切な知識を補うために歯科医院を受診する」という新しい通い方を始めました。クリーニングに依存するのではなく、歯科衛生士から知識とスキルを学び、苦手な部位をプロの手で補ってもらう。「健康を維持するには“自分の力”が何よりも重要」だという考え方こそが、生涯自分の歯でいるために不可欠なのです。
